Próstata
Tiene una cápsula,uretra, tiene 3 tipos de glándulas:
glándulas mucosas de ECiSi
Glándulas serosas, de ECiSi
Glándulas principales, con cuerpos amiláceos
Tiene una cápsula,uretra, tiene 3 tipos de glándulas:
glándulas mucosas de ECiSi
Glándulas serosas, de ECiSi
Glándulas principales, con cuerpos amiláceos
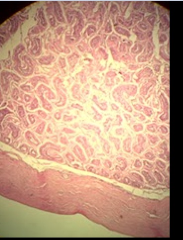
Vesícula seminal
Tiene 3 Capas:
Mucosa con ECiSi y una Lámina propia de TCL
Muscular, con músculo liso en 2 capas(Interna circular y Externa longitudinal).
Adventicia de TCL
Mucosa con ECiSi y una Lámina propia de TCL
Muscular, con músculo liso en 2 capas(Interna circular y Externa longitudinal).
Adventicia de TCL
Epidídimo
Tiene una Mucosa cubierta de ECiPsEs, una LP de TCL
tiene una capa Muscular debajo de la mucosa y una de tejido conectivo denso irregular
tiene una capa Muscular debajo de la mucosa y una de tejido conectivo denso irregular
Pene
Tiene 2 cuerpos cavernosos formado por capilares sanguíneos y un cuerpo esponjoso que rodea a la uretra Peneana rodeada por la albugínea de TCDI
Tiene 2 cuerpos cavernosos formado por capilares sanguíneos y un cuerpo esponjoso que rodea a la uretra Peneana rodeada por la albugínea de TCDI
Testículo
Tiene 3 cpas:
Túnica Vaginal compuesta de EPS
Túnica Albugínea de TCDI
Túnica Vascular de TCL
contiene vasos sanguíneos y túbulo seminófero con espermatogonias, espermatocito primario y espermátides, células de sertoli y células de leydig.
Túnica Vaginal compuesta de EPS
Túnica Albugínea de TCDI
Túnica Vascular de TCL
contiene vasos sanguíneos y túbulo seminófero con espermatogonias, espermatocito primario y espermátides, células de sertoli y células de leydig.




























